Delivering Natural-Looking Dental Restorations For Over 35 Years

Our Solutions

All of our dental restorations are crafted using the latest technologies, materials, and best practices to avoid service interruptions and ensure that your patient gets the aesthetically pleasing restoration they deserve.

Crown & Bridge

Our crowns and bridges are crafted to the highest standard, using best-in-class materials and technologies (such as IPS e.max® and Zirconia) to ensure a flawless, natural-looking result for your patient.

Implants

From single implants to complex cases, our implant specialist technicians work with all major implant systems such as Nobel Biocare, Dentsply Implants, Straumann, and Biohorizons.

digital workflow

Fully Automated Digital Workflow

Innovative Dental has fully adopted all major digital scanning and milling technologies. We are able to seamlessly integrate into all digital scanning systems such as; 3 Shape Trios, Planscan, Itero, CEREC, and Carestream.

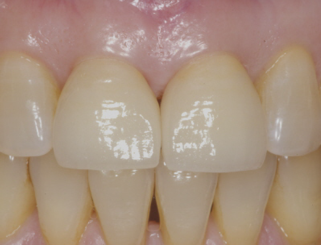
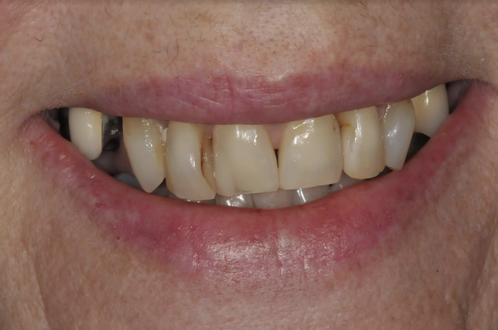
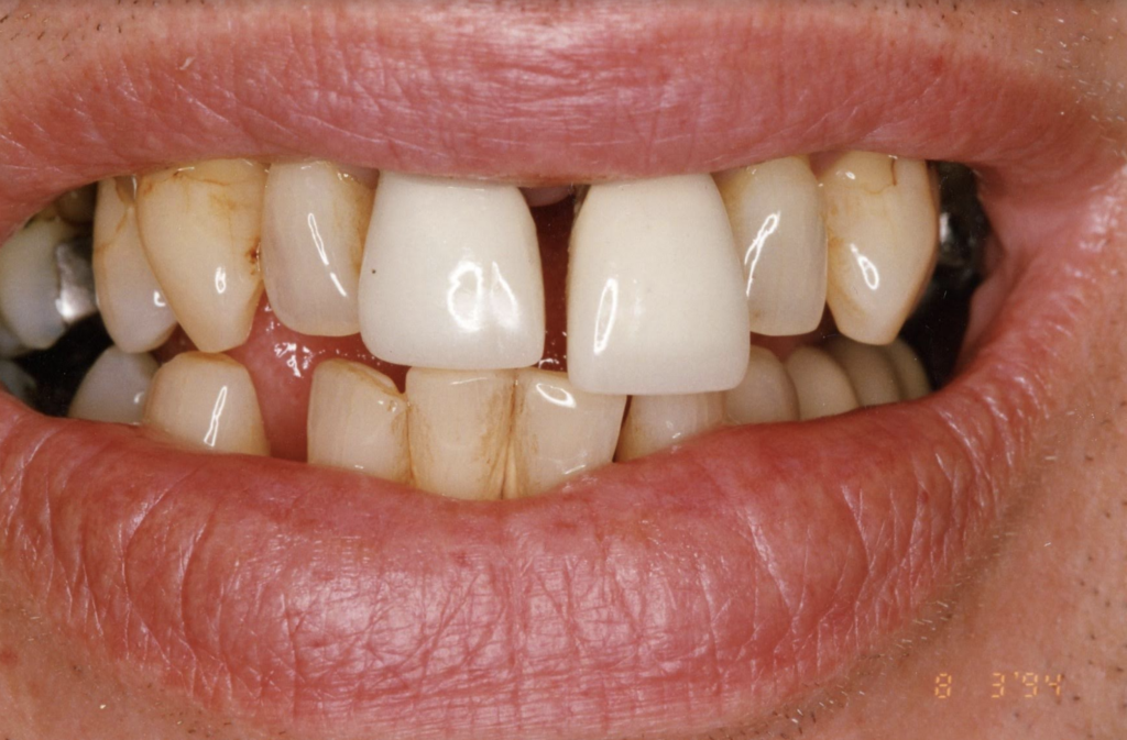
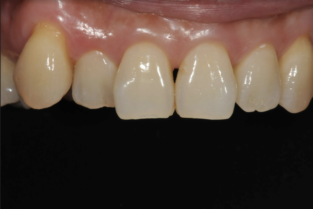
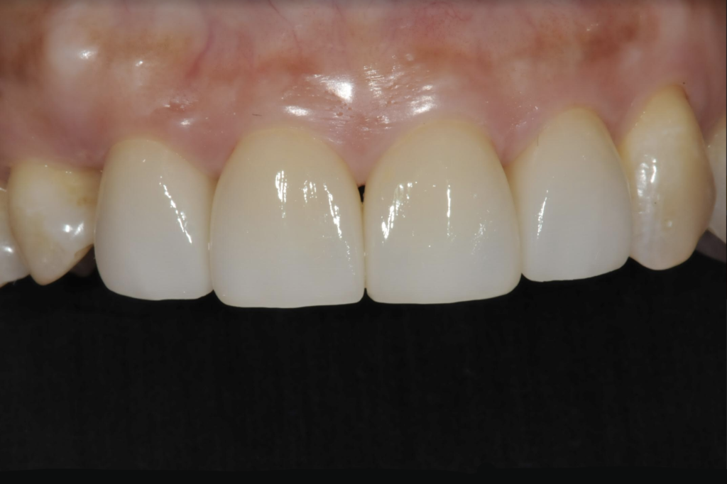
Check Out Some Of Our Recent Smile Restorations!

From full-arch implants to single tooth restorations, we do it all.

Before After
Before After
Before After
Before After

About Innovative Dental

Innovative Dental is a family owned and operated dental laboratory that that was started in 1985 by Frank Spataro and continues to provide personalized 1-on-1 service and high-quality, natural-looking restorations to some of Toronto’s top dental practices.

One of The Most Trusted Dental Labs In Toronto

Through working with hundreds of dental offices for over 35 years, we understand the level of service that is required from a lab to keep your practice running smoothly. 

Contact Us

Address

1706 Danforth Ave. Toronto, ON M4C 1H8

phone

Local: 416-463-3138
Toll Free: 1-800-461-4220

e-mail

info@innovativedental.ca

Business hours

Mon - Fri: 9:00 AM - 5:00 PM

Copyright © 2021 - Innovative Dental Laboratories Ltd.

Looking For A Job?

If You're A Top Performer, We Want To Hear From you!